Why is attic so hot?
With enough exhaust vents and intake vents, your attic has breathing room and is better cooled. Another reason your attic is so hot is because of insulation.
Expert insights and detailed technical documentation about General.
With enough exhaust vents and intake vents, your attic has breathing room and is better cooled. Another reason your attic is so hot is because of insulation.
There are two noises that are generated by the radon system: air flow and vibration. Excessive noise and back pressure is created when too much air is moved
Splunk makes machine data accessible across an organization by identifying data patterns, providing metrics, diagnosing problems, and providing intelligence
Garlic is a chemical weapon against fleas. Fleas detest the smell of garlic and by feeding it to your pets, they will be a walking flea deterrent. Garlic is
Boris Karloff’s Reason for Death-Boris Karloff was an Entertainer who died at 81 years. Be that as it may, how Boris Karloff died is hazy to certain
Produced By: Louis Bell & watt
The major arms were (tub, 11) Model 1895 Lee Navy, M-1896 Krag Jorgensen Carbine, Model 1896 Krag-Jorgensen Rifle, Model 1893 Mauser Model 1888 Trapdoor
In essence, a misting fan works seamlessly to cool an area in any sort of an environment. However, there is a common misconception that it does not work well
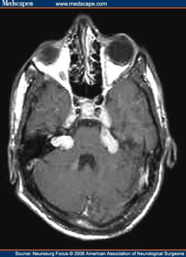
Schwannomas are benign tumors that arise from the nerve sheath (covering) of cranial nerves along-side the cerebellum and brainstem. Vestibular Schwannomas,
MONSTA X has uncovered the tracklist for their eagerly awaited get back with their twelfth smaller than expected collection REASON on December 20, 2022. As
Carolina Jasmine Toxicity in Pets All parts of the plant can contain toxic alkaloids. Eating just one flower has reportedly been lethal to children or pets.
Tadasana (tada = mountain / asana = pose) translates to Mountain Pose, while Samasthiti (sama = same, equal / sthiti = to establish, to stand) translates to